虎牙妹妹矫正,绽放自信笑容

相关图片

有虎牙需要戴牙套做牙齿矫正吗注意虎牙可能潜伏有隐患

虎牙矫正的价格是多少?

32岁虎牙正畸过程分享,花了17个月的时间终于变得美美哒!

03案例重点:虎牙矫正,牙列排齐03案例情况:小姐姐上_圈子-新氧

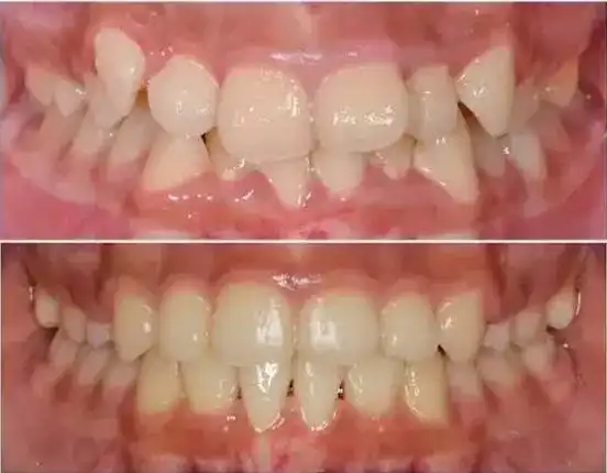
虎牙矫正前后对比图

随机推荐

佟丽娅红丝绒礼裙造型瑰丽典雅 肌肤白嫩笑容明媚

韩国人一致公认天然美女星名单_女生_漂亮_全智贤

又拽又酷又温柔王一博#无名 #清冷气质 #热爱可抵岁月漫长 - 抖音

美美长发 女头 背影

精美图集|张慧雯清纯可爱,甜美迷人

jk##水手服##jk日常##樱花##好想看你穿jk的样子##少女写真##私影

印尼馆丨玲珑石欣赏(原产地:阿根廷)

后来于正发过一篇微博,文内似乎暗暗力撑这个说法.