all-on-4半口种植牙示意图

相关图片

半口牙种植大约多少钱allon4一般需要几颗种植体

即刻拔牙后做半口瑞士士卓曼钛锆亲水种植牙,花了8.8万

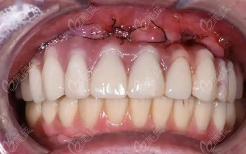
上半口种植牙图片

allon4桥架式半口即刻负重种植牙多少钱要清楚它的优缺点也要搞懂

半口种植牙图片

随机推荐

心累压抑憋屈的图片,心烦心累压抑的心情语录图片

ins风可爱少女心油画质感手绘,艺术壁纸-回车桌面

二次元q版萌女生

张庭出席活动,曾被罚170万,69套房解禁后回归当带货导师?_腾讯新闻

戴莫 钱蓓婷 小钱怎么会有坏心思呢,怎么会呢

欧美,windows壁纸,星云,唯美,nasa系列欧美壁纸图片

黄霄云演绎原创歌曲《打开》 温暖歌声讲述追梦故事

短发发型图片女减龄2022(今年流行的洋气齐肩短发)