年金现值系数表_第1页

相关图片

年金终值系数表1页

年金现值系数表共1页

年金现值系数表(pvifa表)(共2页)

年金现值系数表

年金现值系数表

随机推荐

刘晓庆64岁生日快乐!年轻旧照罕见曝光,貌美如花气质惊艳!

15年过去了,周杰伦最好的电影仍是《头文字d》_搜狐汽车_搜狐网

李沁晒雪景写真美照笑容甜美超治愈活泼开朗惹人爱

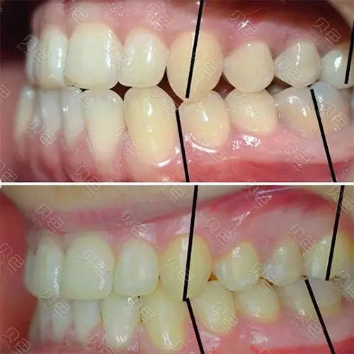
牙齿矫正侧面前后对比

杨洋 棒球帽出境有点高,这是一组杨不修,全片无修图无美颜无滤镜

马嘉祺超话

身高180男友和160女友情侣搭配参考

评论 分享 微信扫一扫 新浪微博 qq空间 举报收起 2015-01-14 暮夏