原创太阳女神谢娜素颜照曝光离开10级美颜后这才是39岁的模样

相关图片

谢娜素颜照被曝光,10岁小女孩遭谢娜粉丝疯狂网暴谩骂,不断求饶

原创太阳女神谢娜素颜照曝光离开10级美颜后这才是39岁的模样

谢娜带仨女儿游船超温馨,跳跳俏俏歌声不断,1岁小咘芽发量优越_妈妈

谢娜素颜惊人照曝光 上街置办结婚用品(图)

谢娜[微博]发文问自拍和他拍的区别,她表示:"那么多节目照片还要喊我

随机推荐

田雨:因为《色戒》错失汤唯,婚配王玥收获满满的幸福

angelababy | 早期的baby真的好甜啊!_高清图集_新浪网

1108辆托马斯的小火车

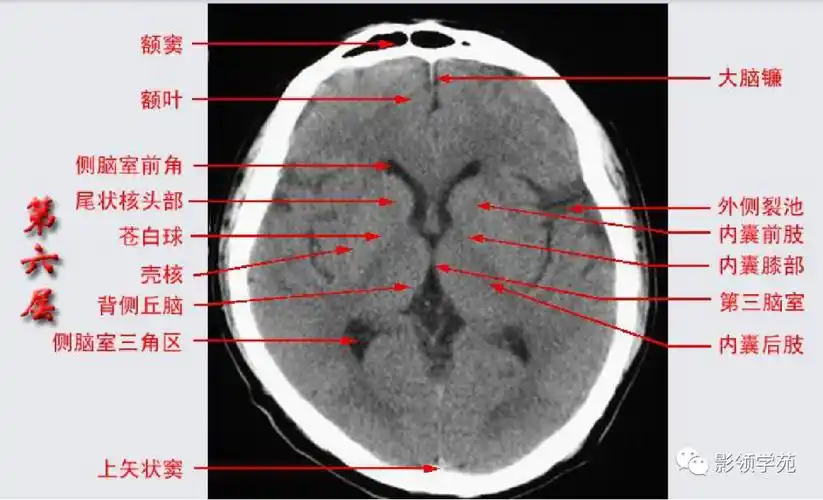
头部ct影像解剖

山河令q版头像.

我为了写这篇文章真的是又看了一遍《一笑三百年》这一集

2岁小男孩最帅气的短发发型 男宝宝剃帅气短发造型

1349-pasoputi 日本插画师 每一个影子都是孤单的