龋齿

相关图片

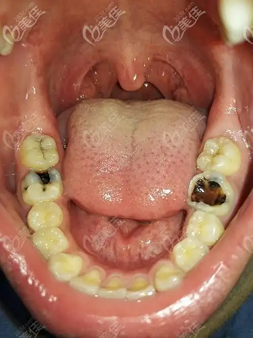
第二磨牙成了龋齿都已经烂空了是该拔掉还是补一补就可以了

门牙龋齿怎么补图片

三沙市龋齿医院_三沙市治疗龋齿哪家医院好_三沙市治

一例右下第二磨牙橡皮障与热牙胶的联合应用

无痛治疗 龋齿|蛀牙|虫牙 3,深龋,即已经伤及到牙髓的牙齿,常

随机推荐

街拍:其实平平常常的人,只要经过了一番打扮,也是可以引人注目

手绘卡通高矮胖瘦人物简笔画

帅得很有古典感,个个龙章凤姿

古风人物简笔画教程莲花少女

帅气外穿夹克男青年

许佳琪 大长腿

可以给我ps一张陆军军装的照片吗

海洋,岩石,美国,黑色,海滩