年轻女子咳嗽,咳痰2年,病因不寻常……_肺隔离症_医脉通

相关图片

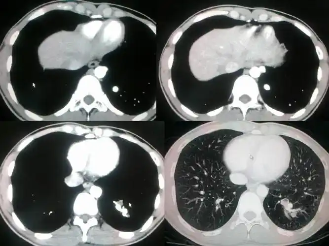
肺隔离症影像表现

肺隔离症影像表现_郑孝飞

右肺下叶肺隔离症一例-中国期刊网

肺隔离症病例分析周至县医院巩pptx28页

肺隔离症影像表现_郑孝飞

随机推荐

窃听风云2,吴彦祖的悬疑佳作,古天乐刘青云只是他的一颗棋子 - 行业

理想汽车发布首份esg报告以自研增程技术等行动响应国家碳达峰碳中和

优美句子英语翻译doc14页

海航空姐制服东航南航川航秋季长袖白衬衫职业装v领气质显瘦套装珠宝

大鱼简谱

人参虫草酒小瓶人参酒虫草双参养生酒人参枸杞酒药酒东北产滋补酒520

小虫甲

射阳盘湾境内发生车祸,年轻女子被甩出车外,当场死亡