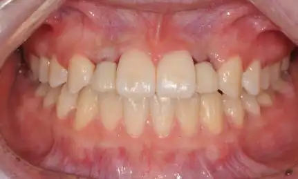
正畸牵引联合氧化锆基台修复双侧侧切牙缺失1例

相关图片

【经验交流】下侧切牙双根一例

双侧上颌侧切牙发育畸形,贴面修复帮助恢复良好形态

上颌侧切牙缺失

两个侧切牙的数字化美学种植修复--*完结篇**&

正畸牵引联合氧化锆基台修复双侧侧切牙缺失1例

随机推荐

【蔡徐坤】&cosmo盛典全程cut 银发背头 长带西装优雅帅气,行走的雕塑

2021痞帅男孩头像很酷痞帅的样子是不是比较拽呢

杨幂的高跟鞋穿搭,展现优雅气质!

超级稀有的古风女生头像93 给大家整理了一组古风女生头像,氛围感

180男生140斤什么感觉? - 知乎

【在线报名】海淀区文化馆(北馆)竹笛线上课程报名

love is love

简谱