9.30虎牙矫正记录 - 知乎

相关图片

牙齿矫正##正畸##南京牙齿矫正

咬合良好,接下来就是好好戴保持器啦~ #虎牙突出 #虎牙矫正 #牙齿

龅牙##下巴后缩##牙齿矫正##南京牙齿矫正

虎牙矫正视频全过程:1-12个月

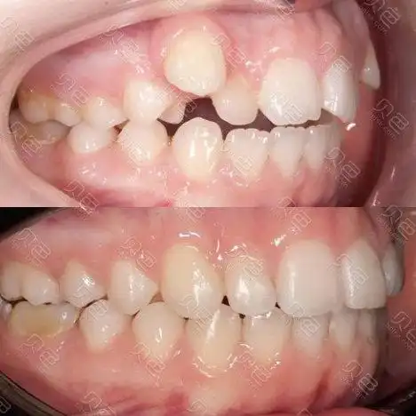
虎牙矫正前后对比

随机推荐

昆凌写真美图:花容月貌,楚楚动人

35岁陈伟霆久违营业,晒与侄女合照其乐融融,却被胡子抢镜_造型_舅舅

angelababy 20岁性感写真,眼神充满魅惑相当诱人,美貌至今没变_状态

气质女演员于明加,穿黑色透视衬衫也能诠释得那样完美

游溪兜村 探蝙蝠洞

101女团成员《火箭少女101》的成员有谁?本文共4398字

cuhu凉鞋2021新款女夏粗跟法式百搭时尚休闲仙女时装凉鞋

3d动画展示痔疮吻合器创维手术