红细胞

相关图片

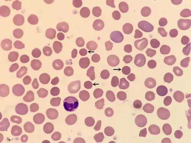
血涂片细胞学检查:成熟红细胞形态大小不一,嗜多色性红细胞易见,见

血涂片细胞学检查:成熟红细胞形态大小不一,嗜多色性红细胞易见,见

一文读懂尿液红细胞形态分析

看图识细胞之"卫生部2017年第1次血细胞形态学质控"

外周血细胞形态学室间质评合辑——红细胞

随机推荐

这个角色说是林志颖古装造型巅峰不为过吧_哔哩哔哩_bilibili

王菲晒谢霆锋私照,隔空打脸张柏芝三胎生父系前夫是谣言!天后为

纯蓝色背景视频

又丑又搞笑的情侣头像 让人过目不忘的头像

周深再唱人间星河##周深人间星河舞台梦幻感##第二届湖南旅游发展

英雄联盟q版同人豹女

你莫走 (二胡谱) 谱友园地

画师暗猫黒 id=56917091 白发 蓝眸 女图 女 长发 p站