成人水痘?

相关图片

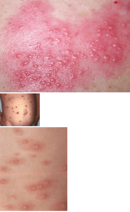
快点好起来吧.#水痘 #成年人出水痘的图片 #水痘进入高发 - 抖音

男,两岁,手足侧,臀部,小腿,舌尖出现针尖小水痘,无不适症状!

水痘早期图片大全出现水痘不可怕10天左右可

小孩水痘症状图片62

婴儿水痘症状图片及治疗

随机推荐

原创小侠龙旋风播出30年两位男主近况悬殊神仙姐姐退圈多年

76易烊千玺手绘头像壁纸

创意设计非主流艺术图片桌面壁纸

关晓彤晒华为nova 11:本月发

戴上耳机! 进来感受【终结的炽天使/费娘】骚里骚气 啊哈

男性的蛋蛋为啥一高一低?这么重要的器官为啥不隐藏深一点?

led镂空灯箱广告牌奶茶店广告牌展示牌定制挂墙式店铺门口装饰灯

岑参诗逢入京使