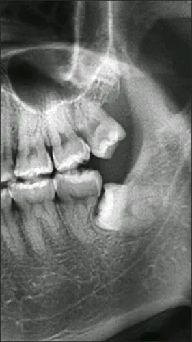
第二磨牙还能保得住吗?

相关图片

下颌第一磨牙解剖图

廊坊人的智齿有这几种情况,不管疼不疼都要拔|磨牙|拔牙|牙齿|颌骨

口解五 上颌第二磨牙 上颌第二磨牙颊面是略圆钝的梯形,颊侧近中轴面

药品经营与管理专业:(一)考核内容:常用药品的分类管理(二)考核方式

牙科解剖学-下颌第二前磨牙.医学上准确的牙科3d插图

随机推荐

引网友众怒|王源|四少|王俊凯|易烊千玺|刘志宏(音乐创作人)_网易订阅

先地红蝽(pyrrhocoris sibiricus),又叫地红蝽.体长7.9~9.

八卦口诀歌

宝宝2周岁生日布置

"最美校服女生"高晴仙系写真曝光,完美诠释甜美时尚风

星际争霸2追猎者神族壁纸高清原图查看

超杯运动鞋男装2019新款92123韩版百搭耐磨舒适板鞋

"迪拜最美公主"萨拉玛:6岁靠颜值火遍全网,却被迫嫁给大叔