国画人物画钟馗字画书画国画钟馗伏魔图

相关图片

河北美协画家刘文顺国画写意朱砂钟馗驱邪纳福图

中国画名家老海水墨人物《钟馗》

水墨写意 如此传神豪气的钟馗水墨画竟出自女子之手,的确令 - 抖音

国画钟馗图像欣赏七

1080钟馗立轴纸本

随机推荐

2013款水孩儿童装冬装

杨紫又胖回来了?小礼服勒出"游泳圈",身材从l码变成4xl

顺丰新鲜沙拉蔬菜组合混合沙拉菜都市健康轻食蔬菜新鲜当季蔬菜精品

阳光才子能"演"善"导" 冯德伦半裸出镜

杨颖高颜值果然任性!白色吊带配鱼尾裙精致高级,小蛮腰抢镜

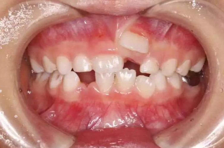
换牙时就有可能出现这种双排牙,这其实在今天并不少见,双排牙在医学上

刘若英风格大变穿短袖羽绒服配半身裙走机场回形针装饰毛线帽

夏季常见皮肤问题,藿香正气水试试_癣_癣治疗方式 - 好大夫在线