2022超火金钱豹头像壁纸朋友圈背景一换暴富

相关图片

1440x900火,火焰,燃烧 壁纸, 图片

灰色的超级跑车,火,轮子 壁纸 - 1920x1200

英雄联盟lol电脑壁纸_超火的lol

英雄联盟lol电脑壁纸_超火的lol

超火卡通人物高清壁纸

随机推荐

这部电视剧由赵丽颖,林更新,辛云来,何与,李嘉琦,曾黎等主演,宣璐,刘

转眼间20年代了,这些00年代的照片你们还记得吗?

杨紫小夭新造型##杨紫##长相思

小清新简约花卉好看电脑锁屏背景壁纸

手绘超级可爱头像嘟嘴女孩可爱唯美小孩头像图片大全小孩头像 抖音上

《延禧攻略》鉴美大赏 洪尧佘诗曼感情戏引期待

南极人黑色高腰打底裤长裤外穿女显瘦春秋薄款铅笔裤修身韩版小脚

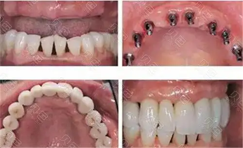
半口牙缺失的治疗方法揭秘:种植牙or半口牙齿修复哪种适合