有虎牙是一种怎样的体验?

相关图片

先来了解一下虎牙的位置

为什么拔牙矫正中,医生一般都不建议拔虎牙?

虎牙烦恼知多少?

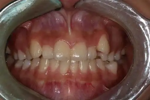
七年级男生牙齿矫正虎牙到合理的位置了_牙套_牙齿矫正_青春期_矫正

虎牙又可以叫犬牙或者尖牙,不少虎牙是因为尖牙位置受到了别的牙齿的

随机推荐

tfboys王俊凯王源易烊千玺.tfboys四叶草三小只啵啵 - 抖音

成龙和老婆年轻时候

拼盘.冷拼 海南风光 迎客松 牡丹花#摆盘技巧 #成品展示 - 抖音

戚薇穿风衣露长腿,娇好身材一览无遗,网友表示太美

在研学基地老师们的指导下,孩子们将泡好的黄豆少量多次地加入到石磨

怀孕1-40周胎儿发育表96关键期别错过.

综艺|播音员|新闻联播|央视主持人_网易订阅