67超急性期大面积脑梗死ct平扫表现

相关图片

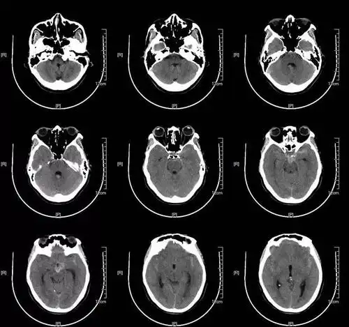
图6. 2017年5月15日头颅ct显示脑沟脑池不清晰,脑肿胀明显.

读片丨女30岁间断性头痛颅脑ctmri

图-:2014年11月24日脑ct.png

收藏!影像医生必备 | 手把手教你读懂颅脑ct

汇总超早期脑梗死ct征象

随机推荐

唐国强现状:国内淘金,妻儿在国外花,为"残疾"儿子的婚恋担心

杀 鱼

宋丹丹退休,被小品耽误一辈子的绝世美女,年轻的照片美到窒息

死刑犯行刑前的不眠夜

凸显轻熟感的八字刘海与齐肩的波浪卷发短发烫发相遇,整个人看起来

泽塔奥特曼花絮:捷德和泽塔震撼的胯下镜头是如何拍摄的?

英短银渐层猫也可以长这么肥壮,是继承了橘.

海南十大最美沙滩2022最新排行榜单公示