一期梅毒初期症状的图片

相关图片

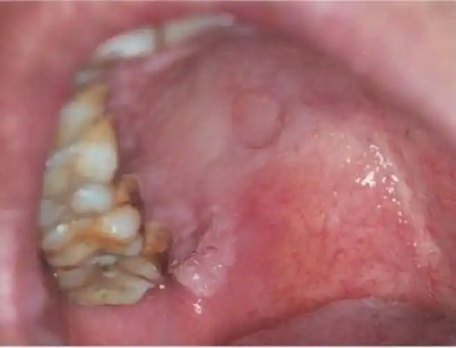
梅毒疹是感染梅毒后所表现出的二期梅毒临床症状之一,可分为斑疹性

梅毒二期症状 (13)

梅毒疹图片_梅毒疹图片和症状图片

关于男生梅毒真实照片的图片及评论

临高县梅毒专家_临高县治疗梅毒哪个专家好_临高县治疗梅毒最好的专家

随机推荐

小品沈腾即兴表演点外卖一顿瞎点抬头一看有提词器爆笑

王源阳光帅气写真桌面壁纸

动漫女头|白毛 #头像# #动漫头像# #女生头像##动漫女头##女头##优质

澳大利亚珀斯日落风景3840x2160壁纸

秋秋の头像〕境界的彼方/境界の彼方/动漫女头/栗山未来/自截/调/

动物,猫咪,可爱美女,动物,猫咪,可爱,手机壁纸淘气嬉闹萌宠猫

王琳凯

埃伦页,艾伦 · 佩吉在 2008 afi 电影节电影 挑衅.