半口种植牙卡通图

相关图片

杭州上城区医院牙科种植牙价格一颗2980元起全口种植牙40000元起

深圳龙岗种植牙多少钱一颗龙岗种植牙便宜又好牙科价格表

半口种植牙动画图

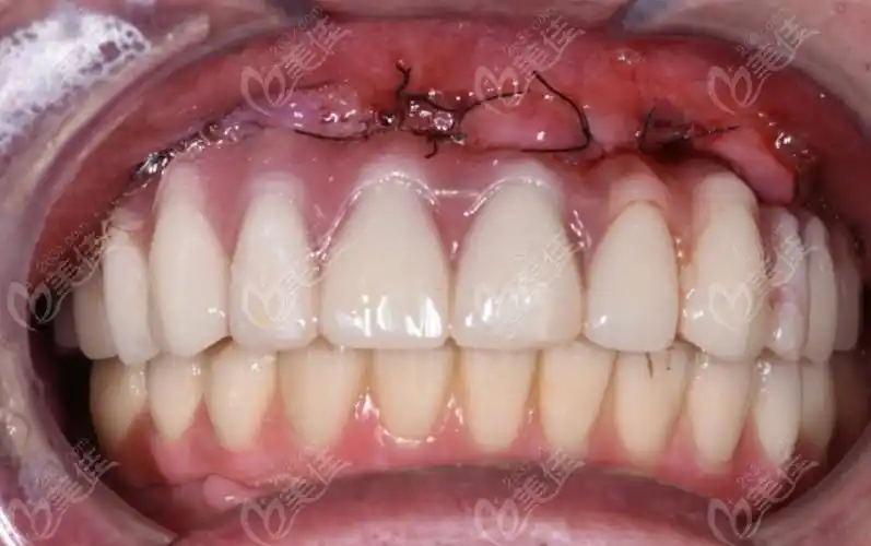
悦康口腔医院好不好本文测评悦康口腔种植牙技术附地址

种植牙选半固定和全固定的区别可不止是费用和使用寿命

随机推荐

不过这个科技馆是要收门票的也值了这里是一个非常值得带小孩子来玩的

不好意思,又打扰友友们了,今天又分享几道,有艺术性的菜,有喜 - 抖音

华星早茄种子紫黑鸡蛋茄长椭圆水果茄子种籽家庭园艺种子

自己专磨的all艾,请别雷我,本羊子没磨出过… - 半次元 - acg爱好者

你见过塌鼻子的帅哥吗

王者荣耀平面图片

六年级课内作文《插上科学的翅膀飞》 #优秀作文#小学作文 # - 抖音

飞机头一般头顶长度会保留3到5厘米左右,太短体现不出很好的立体感,太