倍比雕刻上颌尖牙

相关图片

上颌尖牙牙体形态简述ppt

牙齿的解剖形态图大全

2012级第4次课口腔解剖生理学 (切牙,尖牙)ppt

干货丨牙医技师必收藏:滴蜡法塑形技术

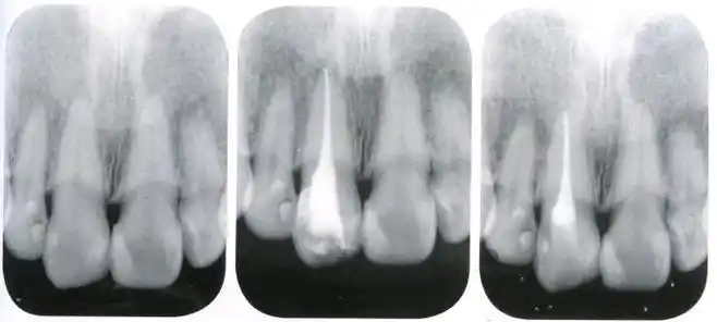
上颌切牙,尖牙的解剖特征与根管预备的策略_形态

随机推荐

董文华:22岁嫁5年之约,23岁爆火,38岁跌落神坛,今怎样了?

《退后》cover周杰伦

电脑壁纸 矢量壁纸 其他矢量 励志减肥创意文字图片

适用iphone14pro电镀手机壳苹果123四角防摔xsmax全包12精孔8p直

治愈的笑容,侧脸的帅气,晚安了@肖战 #肖战 #肖战的小飞 - 抖音

南昌医学院正式建成以后,对江西省会有哪些影响?

原创夏目友人帐里面最唯美的二次元壁纸网友美翻了

日常拍表,发一组照片_劳力士