口腔保健知识孩子长了双排牙怎么办

相关图片

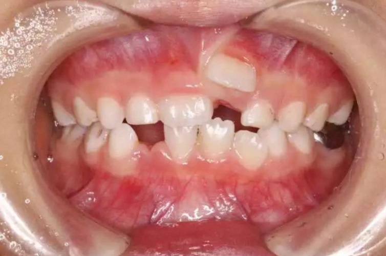
宝宝长了双层牙快吓死爸爸妈妈了

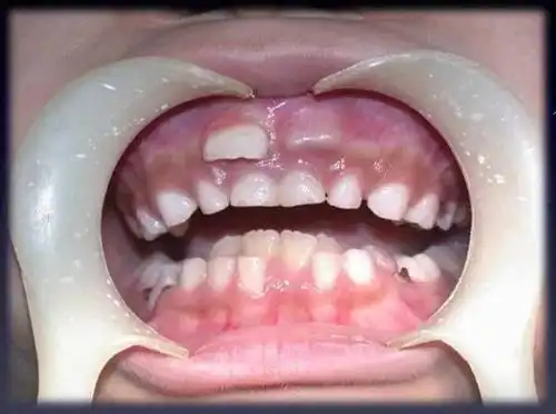
上排术前:牙齿拥挤,后牙咬合关系不佳 矫治通过减数4颗双尖牙,解除

吓人的"双排牙宝宝"越来越多,跟家长的一个坏习惯有关,早点改

出现双排牙需要做手术吗?

两颗双尖牙的死与生

随机推荐

蒋欣全世界最好看的蒋欣_网易订阅

刘德华 #刘德华演唱会 #刘德华出道40周年 #男神 #偶像 #华仔 #热门

蔡徐坤#被霜打过的玫瑰依旧耀眼95 03蔡徐坤 cxk 蔡徐坤帅气

奇迹暖暖古风系水瓶座

范丞丞三七发型怎么弄 范丞丞的发型怎么剪

超喜欢这个宝宝,好可爱吖.以后我也要两个这样阔爱的小闺女

全民k歌毛笔字图片

《创造101》吴宣仪