位片投照要点*广东省中医院大学城运动创伤关节镜专科 写美篇肩部创伤

相关图片

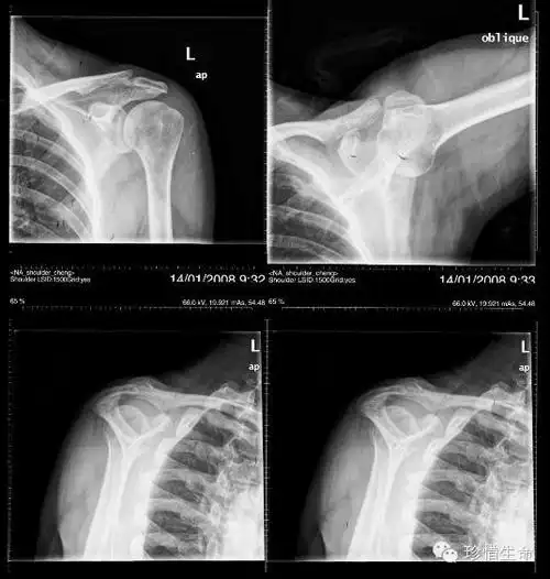
肩关节疼痛肩关节正侧位平片未见明显异常

术后左肩x线侧位片

肱骨x线照片,侧位.

不同肩关节x线投照位

肩关节x线检查体位大全

随机推荐

简约个性图片高清iphone手机壁纸

猫和老鼠沙雕

神健草苗药专家草本乳膏皮肤瘙痒湿痒旗舰 【苗药专家草本乳膏5支】

吉林:长白山大峡谷

风帆agm启停电瓶蓄电池6-qf-70适配帕萨特蓝驱版赛欧3英蓄电池

回顾郭峰一生与音乐为伴无儿无女至今未婚60岁有了烦心事

人像摄影常用姿势大全

作为一名大学生网课答题是最为苦恼的,常常在网上找 - 抖音