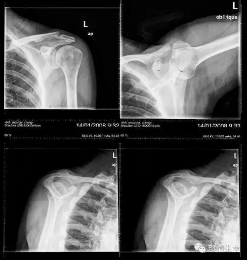
肩关节x线检查体位大全

相关图片

山西省首例反式肩关节置换术由向川主任团队成功开展 - 好大夫在线

胸部影像挑战# 年轻女性肩痛 1 月,咳嗽 4 天,入院体温 39.9°c.

骨肌左肩关节病变请会诊

中年女性,发现右肩关节占位2天.有特征,有细节---(有结果)

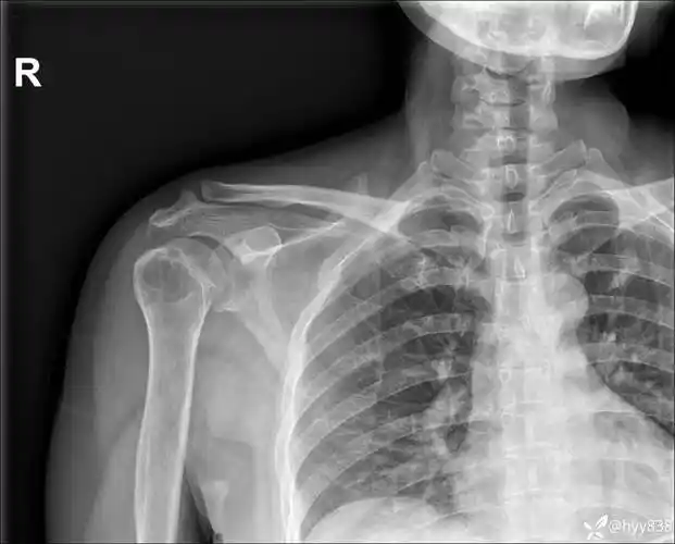
肩关节图片

随机推荐

王源首场个唱来啦有谁注意应援色让tfboys团粉倍受感动

网红超仙气少女心壁纸高清下载

王嘉最新白裙写真曝光 气质优雅唯美宛如童话

是展示了两个眼睛的,其中一个就是宇智波斑的轮回眼,另一个眼睛就是月

素描动漫手绘满足了我二次元的幻想

刀塔传奇剧毒术士新英雄技能图鉴及头像介绍

【预告】|长发公主后妈配音|tough love后妈茶话会配音完整版预告

许佳琪 - 堆糖,美图壁纸兴趣社区