2003年在北京301医院治病,赴天安门留影.

相关图片

2003年西二环——北京 这一年是不幸的非典年,哪里都不欢迎你去.

2003年5月2日的北京火车站(人民图片/格雷格贝克)

2003年国庆节天安门广场花坛

记忆20032020北京公交本车已消毒

原创抗击疫情记忆20032020北京公交本车已消毒

随机推荐

赵薇心真大44岁也敢素颜亮相节目镜头近照女神终究也老了

220伏的接触器带开,停按钮怎么接线

tnt粉丝头像加单人

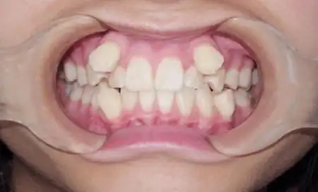
虎牙矫正用什么矫治器

牙齿掉了怎么办(掉一颗牙最好的补救办法)_好房365

适合微信头像的图片特别漂亮好看的迷人风景

美女图集:天鹅绒连衣裙搭配红色高跟鞋,极致的奢华典雅

植物大战僵尸卡片开箱 武僧小鬼僵尸的ko卡是夜光卡哦_腾讯视频