Warning: session_start(): open(/tmp/sess_i3otq2n60nqoev9iga1dog28g2, O_RDWR) failed: No space left on device (28) in /www/wwwroot/www.nnbbaa.com/config.php on line 2

Warning: session_start(): Failed to read session data: files (path: ) in /www/wwwroot/www.nnbbaa.com/config.php on line 2
拥挤的牙齿越来越不齐?矫正迫在眉睫 - 能吧图片库

拥挤的牙齿越来越不齐?矫正迫在眉睫

相关图片

漫漫正畸路.#牙齿正畸##牙齿矫正##牙套毕业# #前后对比 - 抖音

牙列不齐反合矫正前后对比

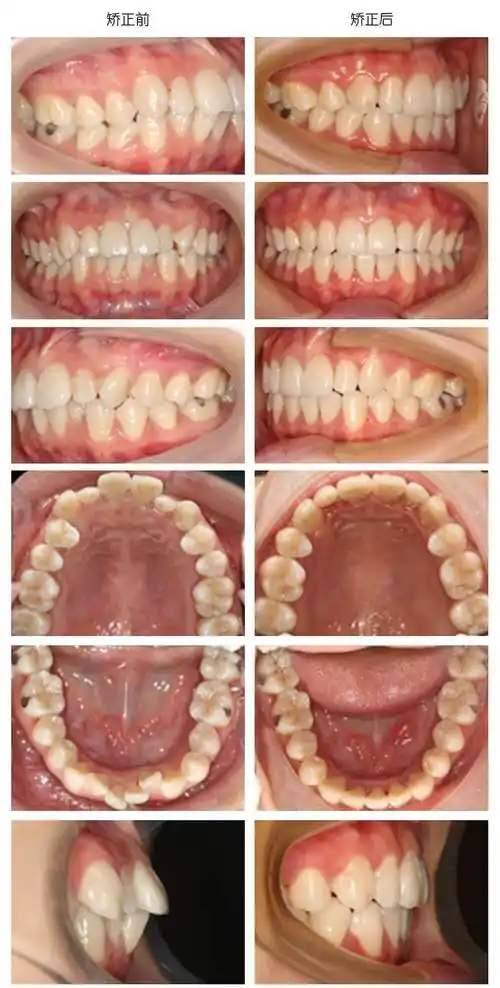
牙齿矫正前后

牙齿矫正前后对比效果

牙齿-侧面及口内对比.jpg

随机推荐

古装女明星图集

最美的琼瑶女郎陈德容:清纯靓丽,楚楚动人_网易订阅

明星们的全家福看看长得像妈妈还是爸爸呢

奶酪体时代少年团女生可爱漂亮字体行楷行书网红手写体临摹练字帖

葛洪桂龙药膏

[今日活动] 秋冬新款韩版低跟平底圆头高筒靴真皮休闲长靴直筒靴高靴

难道房海燕不主持节目后评价变得那么差了?还是原本就差?

博世b0sch角磨机切割开槽抛光打磨机电动手持小型磨光机多功能工具