面肌痉挛_检查_治疗方法_治疗方式 - 好大夫在线

相关图片

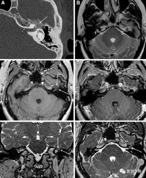
磁共振检查如3d-tof-mra,fiesta等,有助于明确责任血管和面神经之间的

该病典型的 mri 表现为双侧面神经发育不全,在平衡稳态梯度回波序列

12对颅神经连续层面mri解剖

面神经瘤的影像学特点

神经科学专业讨论版 - 专业医生社区,医学,药学,生命科学,科研学术

随机推荐

978 易路向烊(易烊千玺) 易生玺欢(易烊千玺) 易先深(易烊千玺) 易

心灵治愈系背景图:愿那份宁静,自始如一!

古力娜扎最新写真大片 白衬衫加粉色挑染发型又甜又飒

国风绝美壁纸:冷雨吹花 伤心红颜

测试一下 #测试 #趣味测试 #性格测试 #根据脸型设计发型

卡通可爱小天使免抠psd透明素材

图片是本人!因为年轻时候乱用护肤品,化妆导致皮肤反复过敏,后 - 抖音

画师南山绘,彩铅美食绘画作品!_版权_图文_声明