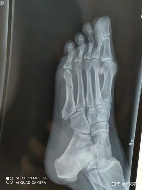
左脚脚趾骨折

相关图片

脚趾骨折石膏骨裂保护套可穿鞋其他脚趾指固定器钢板足部绑带

我在两个医院看的,一个医院说的大的脚趾头里面有骨折,另外一个医院

脚部第五趾骨骨折多久能走路

12岁初一,右脚趾骨骨折,已经打了12天石膏,25天复诊时能不能拆了,这样

患者教育:足趾骨折(基础篇)_骨折_介绍_症状表现_检查_治疗方式_日常

随机推荐

成龙光速衰老一个月前没这么老啊网友猜想让人后背发凉

吴京,胡军,于和伟,张丰毅,亮相央视国庆晚会,十分帅气!

小飞侠永远和肖战在一起

新的狗狗头像拍了拍你

原创曹骏蓝盈莹堪称圈内楷模相恋3年有始有终这样的分手才最体面

毛孔粗大0269♀15.

蓝发少女 #正太 如果活在二次元就好了,这样生气的时候你就 - 抖音

阔腿裤的制作教程_裁剪