脏辫都有哪几种脏辫有几款宽厚里脏辫

相关图片

jiifll-脏辫-雷鬼音乐-dreadlocks-hiphop-这就是街舞-耳钉-黑人音乐

虽然大家都称之为"脏辫",但大mt问了问身边的黑人朋友们后,他们告诉我

如何才可以让自己看起来像一名rapper

外国人的脏辫欧美脏辫黑人的脏辫

脏脏辫黑人帅哥戴墨镜图片

随机推荐

苏泊尔cfxb40fc82675电饭煲维修

马嘉祺戴眼镜好帅 - 抖音

靠墙实木木质医院养老幼儿走廊楼梯卫生间室内楼梯扶手

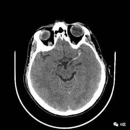
急性缺血性脑卒中多模式头颅ct图像解读

苏有朋亮相《我们的美好生活》首播 透露演唱会近况引发期待|谢娜

刘涛真人长啥样?

古诗词里的秋天第一辑马致远天净沙秋思

韩版女童公主鞋凉鞋2024新款学生舞蹈演出儿童水晶鞋女孩子高跟鞋