soogifsoogif出品潘玮柏中国有嘻哈是哦gif动图_动态图_表情包下载

相关图片

不得不爱 潘玮柏 偷看 暗中观察

潘玮柏摸下巴伸舌头可爱gif动图_动态图_表情包下载_soogif

中国新说唱潘玮柏你伤害了我伤心soogifsoogif出品gif动图_动态图

潘玮柏唱歌转身投入gif动图_动态图_表情包下载_soogif

3挑战的法则潘玮柏笑死我了gif动图_动态图_表情包下载_soogif

随机推荐

朋友点的华晨宇

刘诗诗的"上位秘籍":不争不抢,努力敬业,只爱吴奇隆

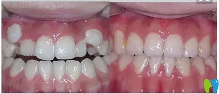
王涪华医生成人虎牙矫正前后对比案例图

>> 文章内容 >> 男性如何自测肾虚 男人怎样自卫最爽答:一)自慰手法1.

可爱女生头像 | 手绘漫画头像 78愿你脸上有微笑,心中有阳光78

宋亚轩_手机壁纸_明星美女手机壁纸_我要个性网

跪求一张一般半天使一半恶魔的图片要动漫的最好是脸部的没有的话就来

梦幻天空海滩情侣亲吻h5背景jpg唯美海边风景背景1920 × 900jpgpsd