头颅ct 解剖图谱,人手一份

相关图片

收藏!影像医生必备 | 手把手教你读懂颅脑ct

影像总结头颅ct基本知识与常见病变

最全的颅脑常见病ct表现在这里!

影像医生必须掌握的头颅ct解剖与常见出血梗死判读

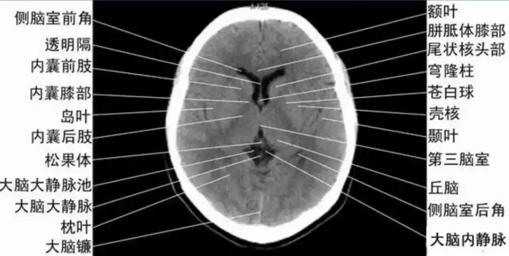
颅脑ct的正常解剖

随机推荐

馥雅公主倾世皇妃马馥雅孩子是谁的

张艺兴衬衣魅力帅气写真图片桌面壁纸

原创卡通动画表情野萌君

陈伟霆晒健美照"色诱"粉丝 手臂肌肉线条完美

大腿根部疼痛

王嘉尔这个笑怎么样

有没有蜡笔小新的高清电脑壁纸呀? - 知乎

1920游戏合集壁纸(18)5 - 1920x1080