男神们,这是一款非常时尚的美式复古翻领牛仔外套!

相关图片

今天我要给大家推荐的是这款非常时尚的男士牛仔外套!

新款水洗翻领牛仔外套男士夹克男80851春秋季宽松衬衫墨麦客男装

翻领夹克2024春季休闲牛仔上衣宽松外套男新款时尚lt真维斯男装

白底平铺图22春装泼墨牛仔夹克油漆个性牛仔衣日系外套bd100p85

nasalike牛仔外套男潮牌春秋季款日系复古感水洗做旧褂子痞帅工装夹克

随机推荐

适合大脸方脸的发型短发,分享几款适合方脸,大脸的发型

李嘉欣近照:涂大红唇颜值在线,这才是嫁入豪门最美好的样子

dota2复仇之魂游戏人物桌面壁纸高清大图预览1680x1050_游戏壁纸下载

(更新)安利b站太太们连夜爆肝做的【红衣温客行】视频剪辑 .

宋茜宋茜刚剪了空气刘海那阵子,也很爱这款甜美浪漫的唇妆,少女气息爆

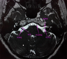
三叉神经(痛),面神经面肌痉挛血管磁共振成像mrta技术 - 好大夫在线

女生唯美伤感黑白头像2021 爱可不可以简简单单没有伤

陈立农今日活动造型高清图释出 黑色皮夹克的超a农农