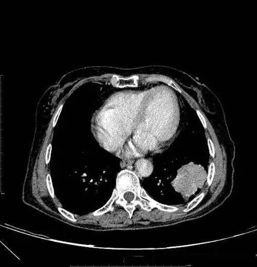
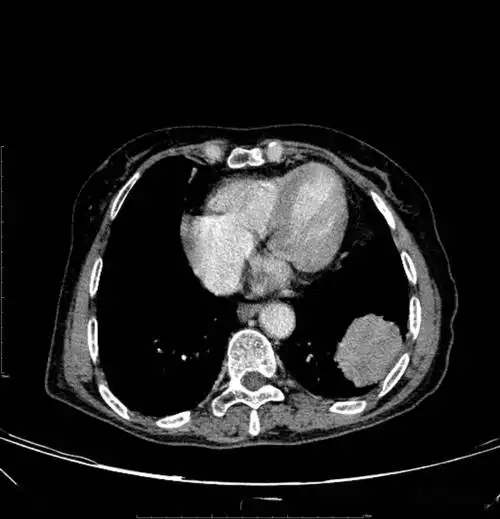
胸部ct平扫图片金典

相关图片

图片是患者ct平扫和多期增强扫描(动脉期,静脉期,平衡期或延迟期)的

pet ct=真相!_病变_玻璃_显示

胸部ct平扫图片金典

分不清ct"平扫""增强"?去医院做ct检查的注意事项都在这里!

67超急性期大面积脑梗死ct平扫表现

随机推荐

发型 #短发 #上热门 #减龄发型 公主切短发,轻薄的刘海 - 兑趑

怎么画牙齿简笔画教程图片

王菲和窦唯在一起的照片曝光,原来年轻的时候这么美

雅致妈妈盘发助力爱女婚礼盘发才是送女儿出门的最佳姿态

dota英雄

胎方位 胎儿先露部的指示点与母体骨盆的关系.

芒种简谱分享

韩国羽毛纹身贴文艺男女持久防水脚踝手臂手指锁骨性感水印贴纸