励志勇于创新海报

相关图片

学会创新

创新图片

创新图片

创新者创造了一个新的工作理念, 正在运作.飞到天空上的灯泡.

创新海报图片

随机推荐

《门徒》里华仔演技有多好,这几段简直炸裂.

易烊千玺居然有"女朋友"了,看了他们的亲密合照,网友不谈定了

易烊千玺 q版 手绘

张予曦的古装谁看了不说一句绝绝子!

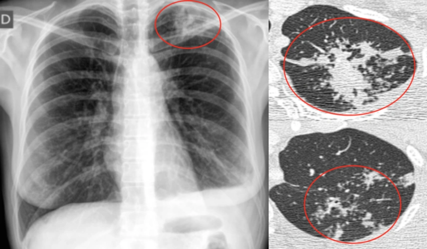
陈起航教授肺结核的影像学评价遏制终止终结肺结核2

肖战##肖战微博之夜

鹿晗

以小楷书法字典