那个戴着帽子和手杖在日落时分走在海滩上的男人.彩色的背景.

相关图片

傍晚海边男人背影图片

海边男头背影

在海边

一个男的坐在红椅子上,背影,面对海边头像

海边帅哥看海背影图片

随机推荐

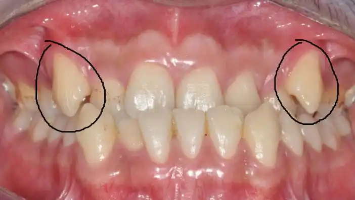
"虎牙"突出来,拔掉就好了?(口腔科普第十八期) - 好大夫在线

00后小奶狗变身时尚icon!腰细胸厚,身材逆袭同龄人

赵丽颖以学生装出现时显得清纯而美丽,这样的服饰风格非常适合她,展现

曾少年#

"三个半人蛇美少女好漂亮~.

沙宝亮近日,某国内导演及相关演艺界人士涉嫌吸毒的事件成为包括娱乐

广州胶粘石透水路面地坪施工队

卡通可爱情侣头像一男一女甜腻再晚点遇见你