小虎牙该不该一拔了之听听口腔科专家咋说

相关图片

以前每次拍照都不敢笑,因为有虎牙还有一点嘴巴前突,_圈子-新氧美容

"虎牙妹变形记"搞定两颗虎牙从此土包子变小仙女

"虎牙妹变形记"搞定两颗虎牙从此土包子变小仙女

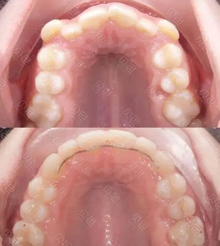
儿童虎牙要如何矫正

因为虎牙不齐,小女孩在矫正前嘴巴不愿意笑开.

随机推荐

胡歌代言 五菱air ev晴空6月份卖了不足700辆

50岁徐静蕾近照刷疯全网:抛弃内娱,精神状态好多了

10奇门遁甲之八门

多色矢量卡通婴儿插图白色小马独角兽公主人物大眼睛,金色喇叭,羽毛

苹果ios 10 iphone 7 plus hd 墙纸

跨年文案##背景图##朋友圈文案##朋友圈背景图##朋友圈背景图##2021

活动作品89salen乐队live

黄遵宪 行书图录号:682年代:艺术家:黄遵宪材质:对联片 纸本作品分类