图19:2015-4-19 ct:脑室系统正常

相关图片

收藏!影像医生必备 | 手把手教你读懂颅脑ct

超实用急诊头颅ct3b阅片法

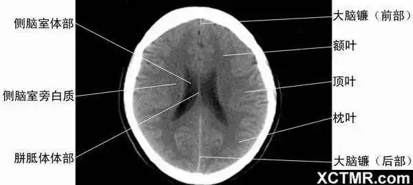
颅脑ct的正常解剖

学习这些颅脑ct图,大脑运动起来升升温吧!

颅脑ct解剖口诀及彩色解剖图

随机推荐

吴彦祖近照是p的

关晓彤仙气十足写真桌面壁纸

零度鱼是一种爱的态度零度鱼意境4k文字壁纸壁纸

重庆曾铁匠室外钢结构楼梯 材质:双侧梆:槽钢 栏杆:小柱:16圆钢,扶手

37岁张俪晒健身照,穿瑜伽裤大显身材曲线!

女性衰老时,典型表现有皮肤变薄,暗沉粗糙,皱纹增多等.

仅重69克北京夏新女性手机f8轻盈上市图

csgo上分开黑头像推荐,快分享给你的好基友