老服装80年代的纯毛制服当年新郎服装一套

相关图片

实拍中国80年代走在时尚前端的女神_穿着

80年代的中国老照片年轻情侣的时髦装束什么样

80年代的美女少男,拍的这张照片真漂亮……__财经头条

80年代知青服装70话剧农民演出服下乡村姑中山装工人服装民国 大领

80年代怀旧农民服装复古演出服平民百姓村姑知青下乡儿童演出服

随机推荐

张靓颖# 91#天赐的声音# 清雅淡然,落落大方,融入盈盈的月光白.

梁咏琪壁纸图片-800x600.115k.高清大图-明星写真馆n63.com

一年级上学期数学第二单元22下课啦课件共19张ppt人教版

双虎喜临门官宣新代言人

一人之下真人剧主演阵容曝光,对比动画还需优化,一些

鲜艳活泼的画面,风趣幽默的表演,温馨欢乐的互动,以孩子喜欢的动物

800字学生万能检讨书xx

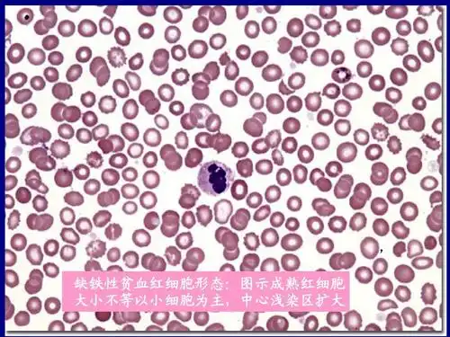
营养性贫血缺铁ppt 医学 儿科学 课件 讲义 , 缺铁性贫血红细胞形态