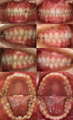
矫正前后面像对比

相关图片

来看看明星整牙前后的对比!

整容不如整牙,那么问题来了,整牙要多少钱?

新闻明星做陶瓷牙_明星整牙前后对比照,林允老了十岁,看到胡歌,牙齿都

原创有种差距叫"明星整牙", 杨幂气质, 而她堪比"整容"

矫正前后口内像对比

随机推荐

giorgio armani##繁花不败##giorgio armani全球代言人胡歌

小时候的邓超学习成绩非常好,从小就特别喜欢看书,常年获得三好学生

1页一家三口我和爸爸妈妈简笔画图片大全-巧巧简笔画儿童简笔画第七集

超级明媚的大帅哥王一博 括弧笑可爱又迷人

雾里-简单版-彩色的世界我在我的雾里多么清晰-抖音双手简谱预览3

香皂125

pr0-800立式加工中心

篮球场地标准尺寸(图示)_第1页