创意字母设计

相关图片

创意字母设计

英语字母画英文字母创意画隐藏找字母

创意字母快乐无限记无锡市长安中心小学三年级英语创意字母画设计活动

创意字母快乐无限记无锡市长安中心小学三年级英语创意字母画设计活动

创意致远 | 英语字母 画=?

随机推荐

电脑壁纸 明星 大陆明星 李现牛仔衬衫个性帅酷写真

演员郑恺儒雅帅气写真图片48

大象

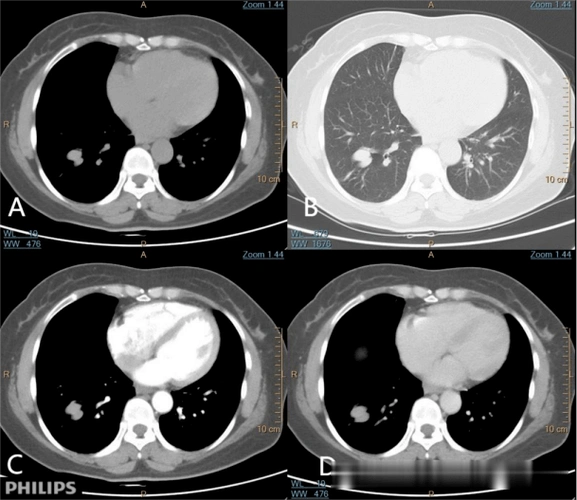
pet ct=真相!_病变_玻璃_显示

长夜漫漫无心睡眠

爆料轨交嘉闵线将向北延伸至太仓哪些区域将成为最大赢家

人民币贬值至五年新低快看你的钱包缩水了多少

【4k60帧】iu(李智恩)神级现场 eight blueming twenty-three (制作人