禹城市中医院口腔科开展种植牙技术

相关图片

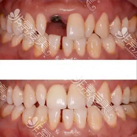
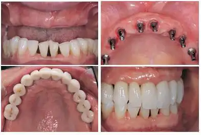
种植牙治疗案例部分图集——贝洁口腔微分享

打开天窗说亮话种植牙到底是什么鬼

去美容院花47万做的种植牙,没多久全部破损

种植牙过程图片

即刻种植牙的真人案例效果图

随机推荐

angelababy,的真容真不敢恭维,这难道就是传说中的女神,一张九宫格

王俊凯任第七届平遥影展特约策展人##tfboys为王俊凯特约策展人打

【亲笔签名照】tfboys成员王俊凯 亲笔签名照片5寸百分百亲签包邮

蔚来ec6内饰_车身_副驾驶

分步骤讲解荷花的画法,学会画荷花很简单,学习

唯美文字美女,高清图片,手机锁屏桌面-壁纸族

高清晰红色玫瑰花素材壁纸-红花配绿叶

50岁的健身少女2017健康中国十大健身人物冻龄女神刘叶琳