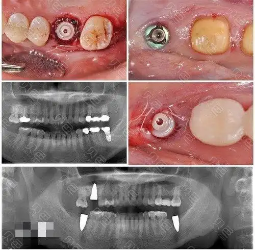
这些都是广州暨大穗华口腔荔湾院区的半全口种植牙病例

相关图片

种植牙模型图

福州科尔口腔医院建议您可以尝试科尔生物活性种植牙,它美观逼真,成活

即刻拔牙后做半口瑞士士卓曼钛锆亲水种植牙,花了8.8万

种植牙效果是否自然呢

揭开种植牙的神秘面纱

随机推荐

宋小宝:不后悔和霍晓红离婚,二婚娶粉丝王雪,如今成人生赢家

酒店菜谱价格(酒店菜谱价格表图)

海鸥不再眷恋大海 杰伦《明明就》mv打卡 #明明就 #英国留

童年女神39岁的李多海要结婚啦~和男朋友崔东旭se7en结束8年恋爱长跑

杨绛先生语录.

粉底防水效果太差了些造型漏洞百出先是假腹肌引争议这部剧糊的一个最

bieber终于等到了,在顶着多年的鸡窝头扫把永和大王的发型之后,寸头

图为临沂强仕泌尿外科医院义诊人员为企业员工进行b超检查