在济南品洁口腔矫正虎牙83天晒我的虎牙戴牙套变化图

相关图片

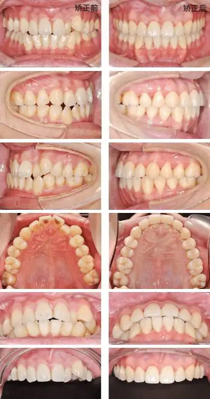
姑苏儿童做虎牙矫正贵不贵

虎牙矫正两年后的效果.jpg

虎牙矫正327天

长歪的虎牙可以矫正吗上海正畸虎牙的牙科有推荐吗

虎牙妹妹矫正,绽放自信笑容

随机推荐

东康新教育学校— 三年级美术 《彩色的梦》课程作业展示

适用于华为p20电池p20pro大容量荣耀20/20is原装v20手机mate2电板

姜妍错爱妈宝男遭男友妈嫌弃干妈宋丹丹拿她当亲闺女

夏季男生适合平头发型图片

新时尚女生烫发15款 最新烫发发型

每天学一幅简笔画春天里的风车简笔画简单画法步骤图片大全

颜真卿的宋字楷书字帖

邱少云红色故事手抄报红色故事手抄报