读懂头颅ct并不难教你成为读片小能手

相关图片

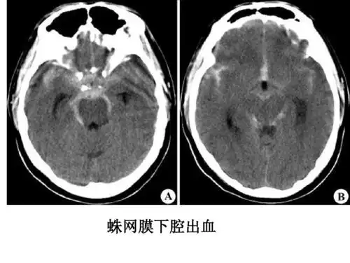
影像总结头颅ct基本知识与常见病变

超实用急诊头颅ct3b阅片法

术后20天复查头颅ct基本正常

影像总结头颅ct基本知识与常见病变

影像总结头颅ct基本知识与常见病变

随机推荐

王俊凯性感喉结合集 大帅哥时刻在线索命

《向往的生活》:富人拿钱演穷人,假得太明显,是节目最大的弱点

森系霸气高冷的女孩英文名字有哪些_大全-幸福起航

马思纯的肚子到底怎么了_减肥_身材_什么

time简谱

就算末了形同陌路,相遇也是恩泽一场

标签:男生头像,动漫,可爱,个性,帅哥

男生头像