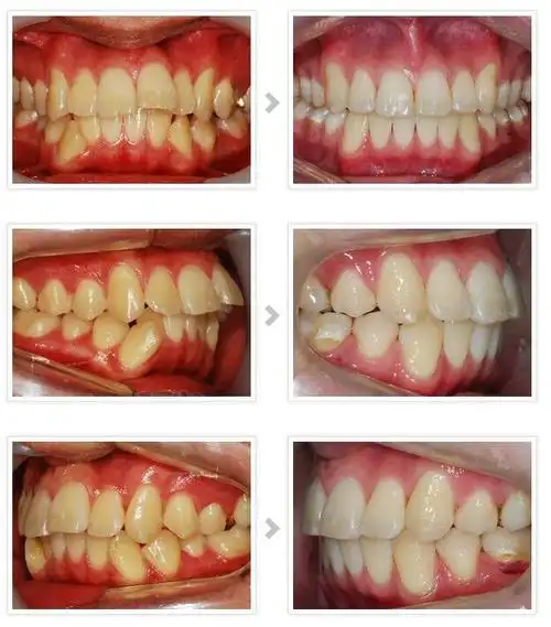
▌ 矫正前后面像对比

相关图片

堪比整容,难怪那么多人选择戴牙套!

牙齿矫正前后对比实在太大啦!30多岁都不算晚!

大龄女青年矫正牙齿效果,我来告诉你自锁牙套矫正效果如何!

矫正案例前后对比

深圳格伦菲尔口腔虎牙矫正前后对比图

随机推荐

被岁月遗忘的美人 #周慧敏 #回忆港星 #手机壁纸

吴亦凡妈妈发文强调受害人和儿子谈过恋爱放话要继续申诉

李冰冰写真释出 着粉色抹胸裙搭粉色西装时尚感满分_造型_活动_照片

周杰伦十二新作高清写真组图专辑为周董压轴之作

头像 聊天背景可爱ins手机壁纸 情侣之间寻常的互动 总透露着甜蜜的

古风建筑效果图

华语女歌手名单影响力:杨超越名副其实,邓紫棋排名

展位设计搭建决定应该从哪些方面考虑效果(图1)