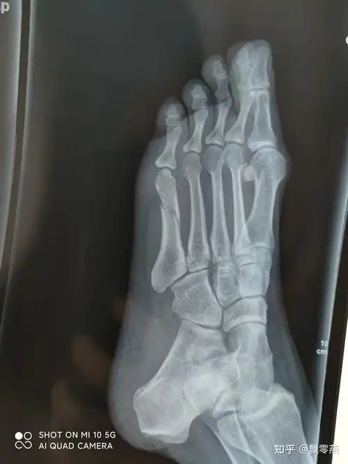
10月15日手术.已经术后20天 请问什么时候可以走路,片子是术后3天

相关图片

脚撕脱骨折,没固定,一个多月了还是肿痛,分别拍了片子,现在的片子愈合

外科医生帮我看看脚的片子

医生求解答.这是我脚崴了,受伤七天后照的,严重不?

张 x 光片的脚,张 x 光片的脚

看个足部的片子

随机推荐

这么欢乐帅气的hiphop舞蹈你确定不跳?超舒适律动编舞《大舌头》

tt高达咯淘宝虎牙抱枕 直播公仔 美女主播粉丝生日礼物车内靠垫logo

50位女星和成龙的合影曝光每一张经典又珍贵男帅女美都太惹眼

暖阳_山河令温周温客行周子舒绘画作品

长相平平,非要尬演"第一美人",是演员太自信,还是审美有问题

220_220gif 动态图 动图

男士大框 高清尼龙偏光太阳镜#高颜值眼镜 #时尚太阳镜 #看 - 抖音

新款lolita洛丽塔鞋甜美学生长靴大码cospla女靴 黑色【冬季加毛】 30