尖牙vs虎牙 这次我pick这颗长得壮又能吃的牙_儿童牙病_疾病介绍_相关

相关图片

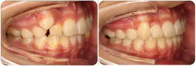
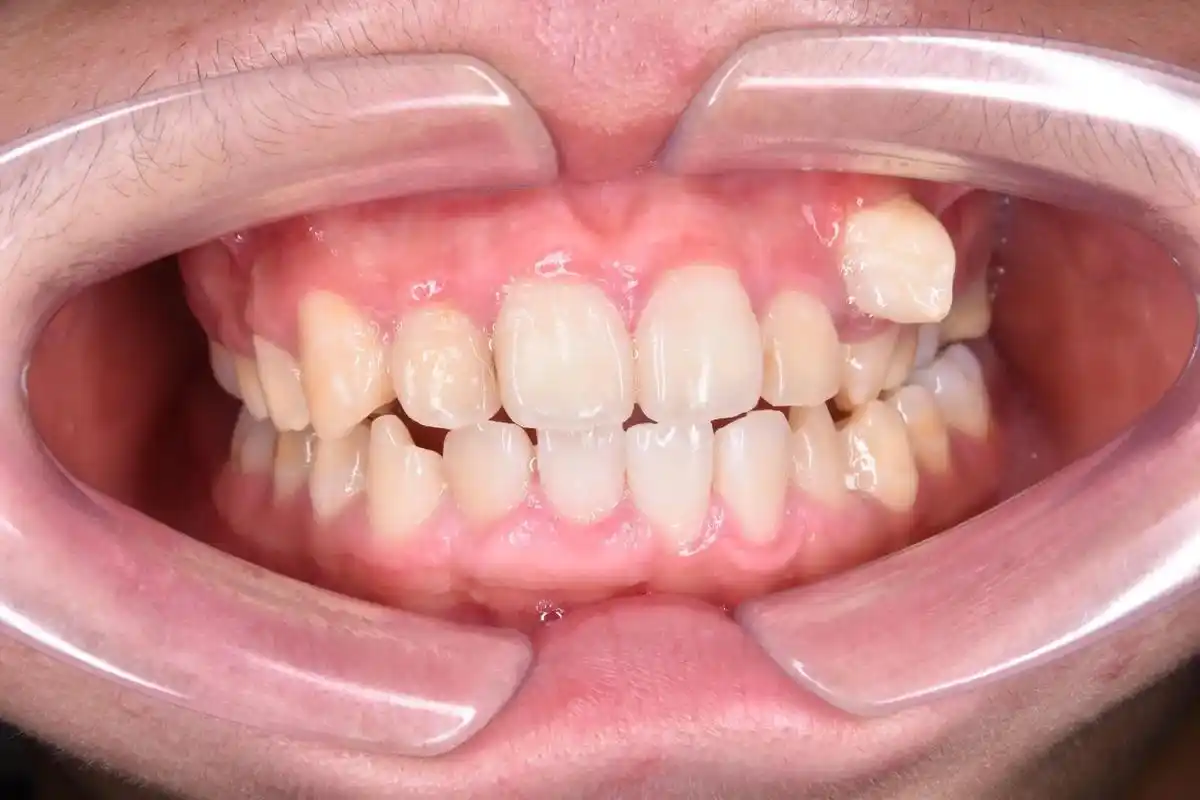
尖牙"虎牙"长歪了,经常有被误拔或被要求拔除,除非特殊情况, - 抖音

尖牙vs虎牙 这次我pick这颗长得壮又能吃的牙_儿童牙病_疾病介绍_相关

什么是虎牙男的有虎牙老一辈说法

深圳牙科医院科普丨你的虎牙需要做牙齿矫正吗

虎牙是一种常见的畸形牙齿,位于上颌唇侧错位的尖牙,它突出于牙弓之外

随机推荐

4款女生扎发图片大全 可爱100%的仙女扎发教程 - 女士扎发 - 发型站

其它 彩色的梦 写美篇快来看看咱们班小诗人,小画家的作品!

身高差不多,就连体重也是非常相近,周冬雨的体重只有90斤,而赵丽颖的

王思聪"私生女"事件:醒醒吧,豪门根本不稀罕你生孩子

回顾徐璐:十三岁出道备受大导演照顾,好家世让她不怕不火

乌兰图雅

国外女生光脚走山路,脚底走的黑黑的