儿童虎牙要如何矫正

相关图片

虎牙矫正用什么矫治器

我的虎牙长在牙龈上面了,而且牙齿都不齐,这该怎么办啊?

虎牙是什么虎牙是病吗

虎牙要拔除吗?需要戴牙套做矫正吗?_手机搜狐网

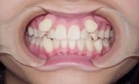
虎牙又叫犬齿,是一种常见的畸形牙,指唇侧错位的尖牙(上颌的两颗单

随机推荐

好开心的生日聚会

榜上有名的四小花旦:论古装造型,杨幂不愧是八荒角色

最近,香港著名歌手陈慧琳走到成都街头,为即将在此地举办的音乐会带来

抖音上很火的丑女,抖音最近很火的丑女-图片大观-奇异网

女明星古装剧中的中分发型谁比较好看

男生穿裙子,你有什么包袱?

蒙牛纯甄牛奶海报中国人正在听平面广告素材免费下载(图片编号

ppt帅照.#理想型 #这么帅没有女孩会拒绝吧#陶喆 ppt - 抖音