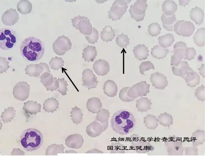
棘细胞,有刺状突起的异常红细胞

相关图片

棘形红细胞,细胞突起较长而不规则,见于棘红细胞增多症(可达70%~80&)

点击空白处查看答案钝锯齿形(皱缩)红细胞外周血涂片,瑞氏-吉姆萨染色

这时候和棘形红细胞很像,但是确实

非新鲜尿中的棘形红细胞

棘细胞,有刺状突起的异常红细胞

随机推荐

格格家青木亚麻灰染发剂膏2021头发流行色植物奶茶色冷棕灰显【2月

壁纸分享——东方project:犬走椛_生活_白狼_妖怪

冬天的青蛙冬眠了简笔画

古风 #国风插画 #红衣古装 #古装仙女插画图集 #ai绘 - 抖音

从成龙到吴京,他们终于狠心要推出接班人了_腾讯新闻

女明星图片简介大全关晓彤d849

长板速降绿皮书# 不同速度滑行时应当使用什么类型的长板

甜点图片_简笔画图片_少儿图库_中国儿童资源网