虎牙拔掉好还是矫正好? - 好大夫在线

相关图片

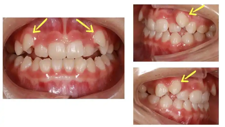
虎牙不可随便拔

嘴突拥挤虎牙,23个月精致少女感达成!▌矫正前后面_圈子-新氧美容整形

小虎牙该不该一拔了之听听口腔科专家咋说

拔智齿真的能瘦脸吗来围观拔4个智齿脸型对比图揭秘真相

我的虎牙可以拔掉吗?

随机推荐

好喜欢他的酒窝啊~05.#易烊千玺 #治愈系笑容 #娱乐评论 - 抖音

烟雨江湖阴阳花采集点在哪里阴阳花采集点位置分享

偶像剧女主角的麻花辫编法##春天出门发型##美丽觉醒

动漫蔡徐坤头像

盘点2023年10至20元左右的钻石香烟列表

不提供原图,尊重纹身的独一无二 thatstar-studio

提起属金木水火土的属相有哪些,大家都知道,有人问十二生肖金木水火土

gtr限量版卡西欧手表男nismo赛车jdm联名太阳能eqs-930nis-1a