龋齿1岁宝宝牙齿这样了,怎么办,严重吗?

相关图片

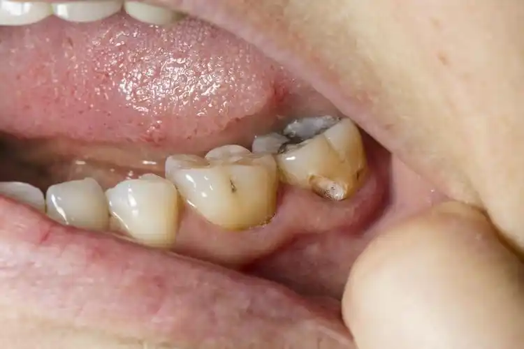
乳磨牙大面积龋坏缺损,充填材料反复脱落,继发龋形成,这个时候 - 抖音

四岁小男孩主诉左上后牙疼痛,检查发现左上乳四邻

龋齿

这个龋齿严重吗?需要做根管什么的吗

图片8_meitu_8.jpg

随机推荐

嘟嘟嘴小女孩-哼哼哼

爆款羊毛卷长发来袭,蓬松瘦脸绝佳选择,尽显性感魅力_发型_时尚_造型

男生真人真实头像帅帅的照片

大家有存的让你觉得惊艳的女明星礼服图吗? - 知乎

配音演员景向谁依的生日是1992年5月17日,他是翼之声中文配音社团的

女士平角内裤真丝单色淘宝爆款批发三角裤低腰42针织双面宽边

单色百变小丝巾印花金丝围脖防晒口罩骑行面罩面纱百搭假领子脖套

失眠烦恼? 教你4种方法远离这个烦恼