原创7岁男孩长"双排牙",需要一颗一颗拔掉,妈妈自责不已:都怪我

相关图片

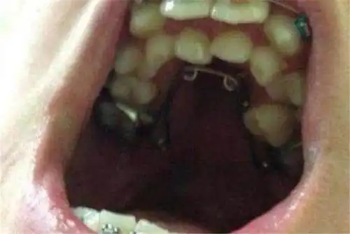
先天性下合第二双尖牙缺失

双排牙齿通常是已经长出恒牙,但是相应的乳牙还没有退掉 - 抖音

10岁男孩长出双排牙父母还自豪是营养好网友送医院吧

先天性下合第二双尖牙缺失

孩子7周岁,双排牙,怎么操作?

随机推荐

eso部分成员改回真名,黄子成还在坚持,发视频为自己辩护_黄子韬_卢哈

田世光工笔花鸟作品欣赏(3)

wantwant旺旺果汁饮料果粒多综合口味300ml10盒椰果礼盒装葡萄橙蜜桃

王一博私服穿搭,路人都得说一句太帅了

演员钟楚红个人资料:当红时退圈嫁人,丈夫英年早逝,如今63岁无儿无女

小伙自制折叠床,既方便又舒适,真是太实用了-度小视

宋亚轩三屏壁纸分享

原创the9全员染头发刘雨昕许佳琪变化大陆柯燃显白到不可思议