医生则表示,"双排牙"已成了儿童口腔疾病的常见病之一,大概要占到儿童

相关图片

急 急 急 宝宝大牙内侧又冒出个牙尖 这

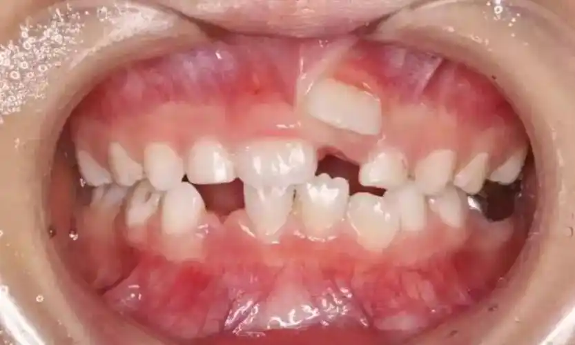
6岁男孩竟然长出"双排牙" 家长注意:皆因孩子饮食太精细 .

2022年5月17日晚,上排右四第一双尖牙终于掉了,疼了好几天,一直掉不

一岁宝宝牙齿牙尖切端,牙本质外露.

孩子长双排牙危害大,元凶不是糖,竟然是……_儿童牙病_儿童牙病相关

随机推荐

时间:2021-05-08浏览:(206)标签:格式:jpg热门壁纸标签王羽杉田馥甄刘

谢霆锋拍新戏被曝与此沙一起身高暴露卷发造型被说像流浪汉

男生汉服青少年学生夏季薄款古装男套装公子飘逸古风男士仙气古代大码

亲子头像一家四口的美好瞬间手绘卡通创意头像

终于拆线了,可能我是修复的,所以恢复期会比别人稍微久一点,眼睛还是

wlop鬼刀 壁纸 超高清无水印版 - wlop壁纸最新 - 实验室设备网

《危情实录》视频圈子-《危情实录》演员及剧情热门动态-爱奇艺泡泡

始于心甘情愿终于愿赌服输